Tecnologia dStream, l’architettura a band alarga digitale, converte il segnale da anologico a digitale direttamete nella bobina.
Immagini di qualità elevata e una velocità eccezionale sono ora una realtà con la nostra architettura a banda larga digitale dStream. Potrai beneficiare un aumento fino al 40% del rapporto segnale-rumore* e di una produttività incrementata grazie alla tecnologia RF indipendente dal numero dei canali che rende più agevoli gli aggiornamenti. dStream converte il segnale da analogico a digitale direttamente nella bobina, eliminando le interferenze del rumore tipiche delle tecniche analogiche, per acquisire il segnale RM senza pre-distorsione e compressione. Una connessione a fibra ottima tra la bobina e il ricostruttore di immagini consente la trasmissione a banda larga dei dati senza perdita di informazioni.”


Dott. Chip Truwit, Primario di radiologia presso l'Hennepin County
Medical Center, Minnesota, Stati Uniti
L’architettura digitale a banda larga dStream utilizza una soluzione tecnologica di tipo DirectDigital RF per la conversione del segnale da analogico a digitale: il segnale RM è digitalizzato direttamente alla sorgente senza perdita di informazioni. Questa innovativa soluzione tecnologica evita qualsiasi fase analogica intermedia (tipiche di altre soluzioni digitali di conversione di tipo enhanced analog, caratterizzate da bobine analogiche e convertitori posti non all’interno della bobina stessa) per la down-conversion (conversione a frequenza più bassa) del segnale tra l'elemento ricevente della bobina e il convertitore analogico/digitale (ADC).

Il risultato complessivo è un'architettura di ricezione semplificata, con pochi componenti, basso consumo energetico, rapporto segnale-rumore elevato, e maggiore stabilità di fase e segnale.

La digitalizzazione avviene nella bobina stessa. I componenti elettronici dell'ADC sono stati miniaturizzati e posizionati all'interno della bobina.
Un unico cavo in fibra ottica per un numero qualsiasi di canali RF sostituisce più cavi coassiali e mantiene la qualità delle immagini. Il numero di canali RF non è più una specifica di sistema.

Risultato: miglioramento del rapporto segnale-rumore e della risoluzione delle immagini

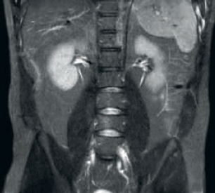
Risultato: immagini disturbate con parametri di scansione identici

Maggiore coerenza e migliore qualità dell'immagine La tecnologia di ricezione RF dStream digitalizza il segnale RM direttamente nella bobina RF, con un aumento fino al 40% del rapporto segnale-rumore* in tutto il volume dell'immagine. Semplificazione del flusso di lavoro e aumento della produttività La bobina posteriore integrata nel piano portapaziente elimina la manipolazione delle bobine nel 60% degli esami. Le bobine anteriori leggere e adattabili e la possibilità di connettere la bobina con un singolo cavo e una sola mano ne rendono più facile l'uso.

Meno complessità di aggiornamento grazie all'indipendenza dei canali Non è necessario aggiornare i canali di ricezione RF del sistema per stare al passo con i progressi nella tecnologia delle bobine. Architettura a prova di futuro È possibile espandere le funzionalità cliniche senza significative revisioni del sistema, con conseguenti costi inferiori per tutto il ciclo di vita e maggiore valore.

Sebbene dStream sia parte integrante di tutti i nuovi sistemi RM Ingenia, i proprietari dei sistemi installati possono trarne vantaggio. L'aggiornamento da SmartPath a dStream offre una soluzione economica per ottenere la RM a banda larga digitale ed è disponibile per: • Intera 1.5T • Achieva 3.0T/3.0T TX • Achieva 1.5T / XR
Spiegazione visiva dell'architettura dStream.
*Aumento fino al 40% del rapporto segnale-rumore rispetto ai sistemi Achieva, ottenuto come sistema non digitale/dStream
L'Hennepin County Medical Center (HCMC) gestisce una struttura di risonanza magnetica all'avanguardia utilizzando lo scanner RM Philips Ingenia 1.5T, con tecnologia dStream.*
You are about to visit a Philips global content page
Continue