Elastografia shear-wave
Per una valutazione più semplice delle patologie epatiche
L'elastografia shear-wave di Philips semplifica la valutazione delle condizioni del fegato grazie a misurazioni della rigidità di questo organo più rapide e facili da eseguire. Si tratta di un metodo non invasivo, ripetibile e di facile esecuzione per la valutazione del tessuto epatico e della sua rigidità e contribuisce a ridurre, se non a evitare, le tradizionali biopsie epatiche1. Le ricerche suggeriscono che invece di eseguire biopsie costose e dolorose, un semplice esame ecografico possa diventare una pratica di routine per la valutazione delle condizioni del fegato. Philips shear wave elastography simplifies liver assessment, making obtaining liver stiffness measurements fast and easy. This non-invasive, reproducible, and easily performed method of assessing liver tissue stiffness may help reduce, or even avoid, the need for conventional liver biopsies. Research suggests that instead of a costly and painful biopsy procedure, an easy ultrasound exam could become routine for assessing liver disease status. Philips shear wave elastography simplifies liver assessment, making obtaining liver stiffness measurements fast and easy. This non-invasive, reproducible, and easily performed method of assessing liver tissue stiffness may help reduce, or even avoid, the need for conventional liver biopsies. Research suggests that instead of a costly and painful biopsy procedure, an easy ultrasound exam could become routine for assessing liver disease status. Philips shear wave elastography simplifies liver assessment, making obtaining liver stiffness measurements fast and easy. This non-invasive, reproducible, and easily performed method of assessing liver tissue stiffness may help reduce, or even avoid, the need for conventional liver biopsies. Research suggests that instead of a costly and painful biopsy procedure, an easy ultrasound exam could become routine for assessing liver disease status.

ElastQ Imaging produce una valutazione quantitativa in tempo reale a colori codificati della rigidità dei tessuti di vaste regioni di interesse (ROI). I medici possono valutare con facilità la rigidità del tessuto epatico con il feedback in tempo reale ed eseguire misurazioni quantitative con più punti di campionamento. ElastQ Imaging consente anche di eseguire misurazioni retrospettive sulle immagini archiviate. Un'esclusiva mappa di affidabilità utilizza un'analisi intelligente che aggiunge un ulteriore elemento di certezza alle misurazioni dell'utente, per appurare che siano state eseguite su aree di tessuto con una propagazione adeguata delle onde trasverse. Se utilizzata con la mappa della rigidità dei tessuti, la mappa di affidabilità dell'imaging aumenta l'attendibilità delle misurazioni dell'onda trasversa. Le due mappe possono essere visualizzate affiancate, e questo riduce il numero di fasi del flusso di lavoro e consente la correlazione simultanea delle mappe durante le fasi di acquisizione e misurazione.

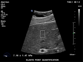
ElastPQ è un metodo facile da usare per ottenere i valori della rigidità dei tessuti epatici di una ROI predefinita. Utilizzando l'imaging in tempo reale come guida, la ROI viene posizionata sull'area di interesse e i dati relativi alla rigidità dei tessuti, ad esempio AVG, MEAN e IQR, vengono generati e visualizzati in pochi secondi. È possibile registrare più campioni e generare un referto sulle condizioni del tessuto epatico a partire dai risultati.
La misurazione della rigidità del tessuto epatico viene eseguita in pochi secondi con una semplice scansione non invasiva

L'elastografia shear-wave è supportata nei sistemi ecografici EPIQ 7, EPIQ 5, e Affiniti 70.
1Ferraioli G, et al. Point shear wave elastography method for assessing liver stiffness. World J Gastroenterology. 2014 April 28;20(16):4787-4796.
You are about to visit a Philips global content page
ContinueNote:
I contenuti presenti nella pagina che segue contengono informazioni rivolte esclusivamente agli OPERATORI SANITARI, in quanto si riferiscono a prodotti rientranti nella categoria dei dispositivi medici che richiedono l’impiego o l’intervento da parte di professionisti del settore medico-sanitario.