Tecnologia a ultrasuoni xMATRIX

La tecnologia dei trasduttori xMATRIX

sta cambiando l'esperienza d'esame

La tecnologia xMATRIX consente di vedere con maggiore chiarezza, di esplorare più in profondità e decidere con più consapevolezza, rendendo gli esami più facili e veloci tanto per il personale sanitario quanto per i pazienti.

*

Contattaci per informazioni

* Questo campo è obbligatorio

*
*
*
*
*
*
*
*
*

Specificando il motivo del contatto potremo fornirvi un servizio migliore.

We work with partners and distributors who may contact you about this Philips product on our behalf.

*
*

Final CEE consent

xMATRIX è la nostra tecnologia dei trasduttori a ultrasuoni più versatile e innovativa, disponibile da oggi. Consente di vedere con maggiore chiarezza, di esplorare più in profondità e decidere con più consapevolezza, rendendo gli esami più facili e veloci tanto per il personale sanitario quanto per i pazienti. La tecnologia xMATRIX favorisce un'acquisizione volumetrica rapida e di facile esecuzione e fornisce viste non possibili con l'imaging 2D, e tutto ciò con una qualità dell'immagine sorprendente. È possibile valutare con sicurezza l'anatomia e la funzionalità, identificare con facilità le anomalie e rendersi conto pienamente delle relazioni strutturali nello spazio 3D.

Flusso di lavoro migliorato

 

Basta sfiorare un pulsante e xMATRIX permette di lavorare in tutte le modalità con un unico trasduttore: 2D, 3D/4D, Live 3D Echo, Live xPlane, zoom Live 3D, Live 3D Full Volume, iRotate, Live MPR, MPR, M-Mode, Doppler, Color Doppler e CPA. Non è necessario sospendere l'acquisizione per cambiare trasduttore. I dati volumetrici ottenuti con la tecnologia a ultrasuoni xMATRIX possono essere visualizzati nel sistema PACS così come si vedono le immagini TC e RM. Una volta ottenuti i dati, il sistema consente di acquisire i cineloop della ricostruzione multiplanare X, Y, Z o iSlice con la semplice pressione di un pulsante e di inviarli al PACS. È possibile visualizzare, sezionare e interrogare i dati in qualsiasi momento in base ai propri impegni.

Estrema versatilità

 

I trasduttori xMATRIX sono indicati per un'ampia gamma di applicazioni cliniche, tra cui esami cardiaci per pazienti adulti e pediatrici, esami addominali, vascolari, ostetrici e ginecologici, nonché per procedure interventistiche cardiache e addominali. xMATRIX è disponibile nei sistemi EPIQ 7 e CX50 xMATRIX.

Potenza e prestazioni

 

I trasduttori xMATRIX portano le prestazioni di scansione a un livello superiore. Sfruttano la potenza di 150 computer, con un numero di elementi "fully-sampled" da 2.500 a oltre 9.000, per una messa a fuoco e un orientamento a 360 gradi. Se associati a Philips nSIGHT e alla tecnologia a cristalli PureWave, risultano ancora più potenti.

 

 

 

 

L'imaging volumetrico consente l'acquisizione e il rendering di dati volumetrici completi con frame rate davvero in tempo reale e una risoluzione a livello di isovoxel eccellente.

 

 

 

L'imaging Live xPlane crea contemporaneamente due piani di imaging a piena risoluzione, in modo da catturare una quantità di dati clinici doppia nello stesso intervallo di tempo dell'imaging 2D convenzionale.

 

 

 

Comfort durante la scansione

Oltre a vantare prestazioni eccezionali, i trasduttori xMATRIX sono anche facili da utilizzare. Hanno un design ergonomico con una terminazione facile da afferrare, per garantire il comfort durante l'esecuzione degli esami tutto il giorno.

Imaging Live xPlane

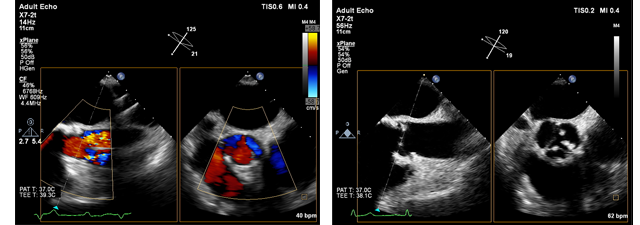
Durante gli esami cardiaci l'imaging Live xPlane consente di acquisire contemporaneamente due piani dello stesso battito, raccogliendo informazioni di importanza cruciale in tempi rapidi e in modo affidabile.

Imaging xPlane

iRotate

iRotate è una novità xMATRIX che migliora la qualità dell'immagine e agevola il flusso di lavoro. iRotate esegue la rotazione elettronica per ottenere la vista all'interno della finestra acustica, eliminando la necessità di ruotare manualmente il trasduttore alla ricerca di una finestra che non sia oscurata dalle costole. Con il trasduttore X5-1, la funzione iRotate permette di effettuare un protocollo completo di eco stress inserendo l'acquisizione di immagini 2D con proiezioni a 4, 2 e 3 camere dalla stessa finestra dopo lo sforzo al picco senza ruotare il trasduttore. Si riduce così l'affaticamento del polso e si risolve anche il problema del non allineamento del ventricolo sinistro ingrandito nei pazienti con insufficienza cardiaca.

Prestazioni eccezionali per tutti gli esami cardiaci

 

I trasduttori xMATRIX supportano la gamma completa delle modalità per l'intera popolazione di pazienti:

 

  • X5-1 per pazienti adulti
  • X7-2 per pazienti pediatrici e adulti di corporatura minuta
  • X7-2t TEE per procedure di interventistica negli adulti 
  • X8-2t per il Live 3D TEE di ultima generazione

One Probe Solution for 2D and 3D Echo – clinical benefits and workflow improvements

Andreas Franke, Primario di cardiologia e terapia intensiva interna, Klinikum Siloah, Hannover, Germania

Studio trasmesso in diretta: diagnosi di difetto interatriale

John D Carroll, Direttore del centro cardiaco e vascolare e di cardiologia interventistica, University of Colorado, Aurora, Colorado (USA)

You are about to visit a Philips global content page

Continue

You are about to visit a Philips global content page

Continue

La visualizzazione ottimale del nostro sito richiede la versione più recente di Microsoft Edge, Google Chrome o Firefox.

Sei un operatore sanitario?
Campo obbligatorio

Note:

I contenuti presenti nella pagina che segue contengono informazioni rivolte esclusivamente agli OPERATORI SANITARI, in quanto si riferiscono a prodotti rientranti nella categoria dei dispositivi medici che richiedono l’impiego o l’intervento da parte di professionisti del settore medico-sanitario.