Il 70% dei radiologi considera difficili le indicazioni neurologiche, principalmente a causa della mancanza di tecniche di imaging e visualizzazione appropriate¹. Philips mira a fornire la migliore chiarezza diagnostica e guida al trattamento possibile per tutti i pazienti affetti da disturbi neurologici. Quest'anno, sfruttando la nostra piattaforma digitale dStream, stiamo introducendo una serie di nuove strategie di imaging e visualizzazione. Questi strumenti possono aiutarti a risolvere domande neurologiche complesse con maggiore sicurezza, nonché a esplorare nuovi territori neurologici in applicazioni neurofunzionali avanzate. Si tratta di un progresso fondamentale per migliorare la diagnostica neurologica e, in ultima analisi, avere un impatto positivo su un numero maggiore di pazienti con l'imaging RM. ¹ Indagine di mercato TMTG 2016
¹ SmartExam non è disponibile per i pazienti portatori di impianti soggetti a condizioni specifiche in RM
¹ SmartExam non è disponibile per i pazienti portatori di impianti soggetti a condizioni specifiche in RM



Innovazioni RM importanti
Philips crea innovazioni RM per le persone: radiologi incaricati di fare di più, meglio e più velocemente; medici che necessitano di risultati affidabili per formulare diagnosi sicure; ricercatori in cerca di risposte a domande significative; e pazienti che hanno avuto l'opportunità di vivere un'esperienza più semplice e di ottenere risposte immediate.
Dalla collaborazione Il Dott. Tetsuya Yoneda, della Kumamoto University in Giappone, parla della sua collaborazione con Philips su una tecnica chiamata SWIp, sviluppata per l'imaging pesato in suscettibilità.
Collaborazione con l'University of Vermont nel campo dello sviluppo cognitivo
Richard Watts e Hugh Garavan, University of Vermont, parlano della collaborazione con Philips su MultiBand SENSE e del modo in cui lo utilizzano nei loro protocolli di studio.
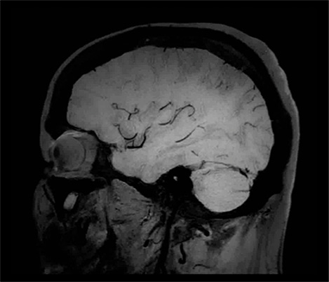
...alla pratica clinica Il Dott. Chip Truwit, del Hennepin County Medical Center di Minneapolis, Stati Uniti, spiega come SWIp sia diventata parte integrante di tutte le scansioni RM traumatologiche.

Casi clinici che coprono quasi tutte le possibili anatomie Possibilità di consultare più di 100 casi clinici pubblicati da specialisti di tutto il mondo, per scoprire in che modo la tecnologia digitale di risonanza magnetica Philips può soddisfare le vostre esigenze di imaging.

Scopri le conoscenze tecniche, le strategie di ottimizzazione dei protocolli, le insidie dell'imaging e le indicazioni future.

Visitate la nostra comunità online NetForum per condividere esperienze cliniche, ottimizzare i risultati e apprendere da specialisti di tutto il mondo.

Scoprite in che modo Philips può aiutarvi a scegliere le bobine più adatte alle vostre esigenze di RM. Scegliete tra un’ampia gamma di bobine per risonanza magnetica.
You are about to visit a Philips global content page
Continue