
Scansione come di consueto Una sola scansione per dati spettrali e convenzionali, a bassa dose e rapidi per ogni paziente, in ogni momento.

Sempre disponibile 100% spettrale, 100% disponibile, per risultati sempre a disposizione su richiesta, anche retrospettivamente.

Numero ridotto di esami di follow-up Grazie alla miglior visualizzazione e caratterizzazione dei tessuti, è possibile ridurre il numero di scansioni di follow-up dovute a esami subottimali e risultati inaspettati.

Vari tipi di paziente È vantaggiosa per un'ampia gamma di tipi di paziente, da quelli pediatrici a quelli bariatrici.
Vai oltre la TC convenzionale. Scopri come i risultati con diversi strati del detettore spettrale possono migliorare l'affidabilità diagnostica.
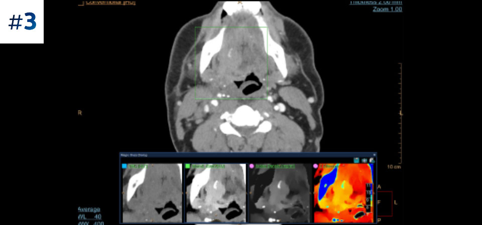
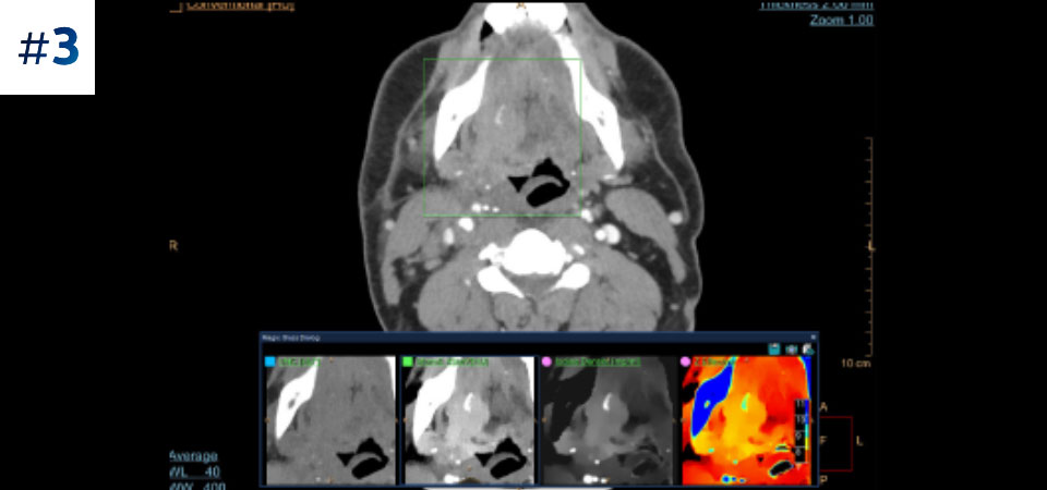
Massa nel collo
Controlla qui le tue risposte
La TC basata su detettore spettrale di Philips ci consente di acquisire dati convenzionali e spettrali in un'unica scansione, senza alcuna variazione al nostro flusso di lavoro corrente.
Dott. Charles White
Professore di Medicina polmonare e terapia intensiva, University of Maryland School of Medicine
Quest'anno stiamo assistendo a interessanti novità sulla TC basata su detettore spettrale. Iscriviti per ricevere aggiornamenti ed essere sempre informato sulle novità in arrivo o contatta l'organizzazione locale di Philips per maggiori informazioni.

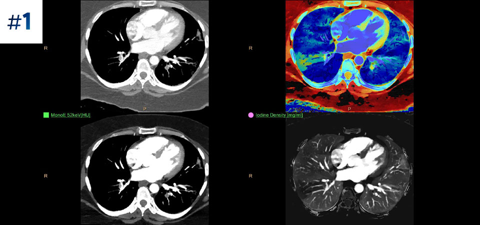
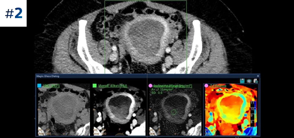
Osserva la differenza tra la TC basata su detettore spettrale e la TC convenzionale

Scopri i vantaggi della TC basata su detettore spettrale

Rivivi l'esperienza del summit virtuale 2020 di Philips sulla TC spettrale

Scopri tutte le soluzioni TC
You are about to visit a Philips global content page
ContinueNote:
I contenuti presenti nella pagina che segue contengono informazioni rivolte esclusivamente agli OPERATORI SANITARI, in quanto si riferiscono a prodotti rientranti nella categoria dei dispositivi medici che richiedono l’impiego o l’intervento da parte di professionisti del settore medico-sanitario.