

Compilate il modulo per essere ricontattati.

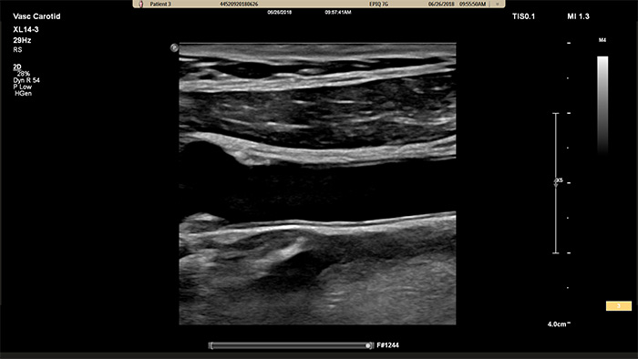
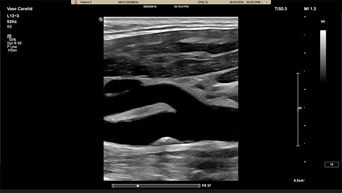
Il trasduttore XL14-3 xMATRIX incorpora un numero incredibile di elementi, addirittura 56.000, tutti collegati a un microcanale separato. Il trasduttore XL14-3 è dotato di messa a fuoco elettronica multidimensionale per immagini a spessore ultrasottile dell'anatomia vascolare e della morfologia della placca. Vantaggio principale: eccezionale affidabilità diagnostica nella valutazione della stenosi e della placca vulnerabile.


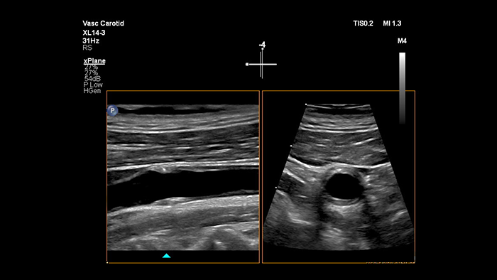
Il trasduttore XL14-3 xMatrix offre imaging xPlane che va oltre l'approccio convenzionale agli esami vascolari grazie a immagini in tempo reale acquisite contemporaneamente sul piano longitudinale e trasversale. Vantaggio principale: l'imaging xPlane elimina la necessità di ruotare il trasduttore per acquisire viste ortogonali. Con un semplice movimento della trackball è possibile svolgere una valutazione anatomica completa, risparmiando tempo durante l'esame.


Il trasduttore XL14-3 xMatrix offre inoltre funzionalità Doppler xPlane. Il Doppler a onda pulsata (PW) xPlane consente un posizionamento preciso del volume del campione Doppler utilizzando contemporaneamente le immagini di riferimento longitudinale e trasversale. Vantaggio principale: il Doppler xPlane riduce gli errori di posizionamento del volume del campione e fornisce maggiore riproducibilità e coerenza durante il campionamento di stenosi significative.



Il trasduttore XL14-3 xMatrix inoltre ha la capacità di visualizzare l'anatomia in un incredibile formato 3D/4D con un flusso di lavoro basato su ICONE facile da utilizzare. I medici possono vedere direttamente dentro il vaso per valutare l'ubicazione spaziale e la composizione della placca, e utilizzare i dati di flusso 3D per valutare la stenosi e la tortuosità.


L'interfaccia utente 3D/4D offre inoltre la possibilità di generare un modello del vaso utilizzando i dati del flusso. La modellazione 3D del vaso consente la visualizzazione diretta del flusso per ulteriori analisi di stenosi o tortuosità. Vantaggio principale: visualizzazione 3D/4D di qualità elevata dell'anatomia vascolare che fornisce uno strumento di comunicazione ideale per facilitare la collegialità delle decisioni cliniche e agevolare i consulti con i pazienti affinché comprendano la loro condizione.



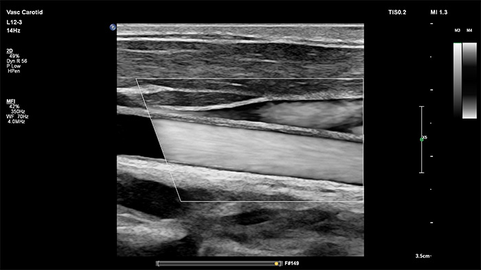
L'elaborazione di immagini di nuova generazione di Philips porta l'imaging vascolare a nuovi livelli, grazie alla capacità di delineare in modo eccezionale le interfacce dei vasi e fornire cospicuità avanzata della texture della placca. Riducendo l'offuscamento e gli artefatti dei vasi, XRES Pro aumenta l'affidabilità diagnostica dell'imaging vascolare dei pazienti, inclusi quelli tecnicamente difficili.



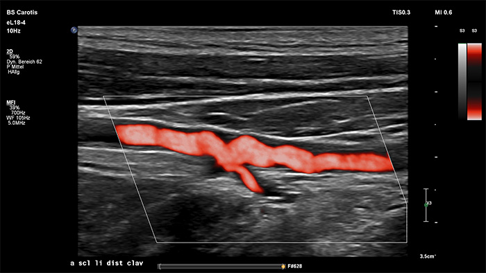
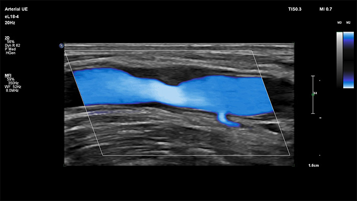
Philips MicroFlow Imaging è concepito per rilevare con considerevole sensibilità il flusso di sangue lento e debole nei tessuti e migliorare la risoluzione del flusso in esami vascolari. Grazie alla risoluzione elevata e agli artefatti ridotti al minimo, i medici sono in grado di visualizzare e caratterizzare piccole alterazioni del flusso attorno alla placca stenotica per formulare diagnosi affidabili.





Ergonomici e leggeri, i trasduttori della nostra ampia gamma sono disponibili in numerose configurazioni che consentono una migliore penetrazione con minori artefatti. Fare clic sul collegamento sottostante per ulteriori informazioni sulla gamma completa di trasduttori Philips e per scaricare istruzioni dettagliate relative alla cura e alla manutenzione.

Gli enormi progressi compiuti in termini di sistemi ecografici di livello premium possono contribuire ad allentare la tensione negli ospedali e nei centri di assistenza sanitaria sovraccarichi di lavoro, ai quali viene richiesto con sempre maggiore insistenza di garantire un'elevata qualità di cura contenendo i costi. Lo scopo è sempre lo stesso: facilitare l'elaborazione di una diagnosi rapida e precisa. I sistemi ecografici per applicazioni vascolari di Philips forniscono tutte le informazioni necessarie a operatori sanitari ed équipe mediche. Le soluzioni per applicazioni vascolari Philips preparano la strada per un'esecuzione degli esami facile, rapida e coerente. Ne consegue un elevato livello di affidabilità nella diagnosi, anche per i pazienti tecnicamente difficili.








You are about to visit a Philips global content page
Continue