I tuoi pazienti sono il punto focale di Philips Compressed SENSE, che ti offre più tempo per creare un'esperienza di risonanza magnetica eccezionale, in grado di migliorare il comfort e la fattiva collaborazione dei pazienti. Abbreviando il tempo dell'esame e le apnee, le applicazioni di Compressed Sensing facilitano le scansioni RM per chi ci si sottopone. Slot temporali più brevi danno al personale più tempo per preparare i pazienti e promuovono la soddisfazione tra di essi.

I pazienti che devono sottoporsi a una risonanza magnetica possono provare ansia e nervosismo, a causa del suono prodotto dallo scanner di RM e del tempo che devono trascorrere all'interno di uno spazio chiuso. Abbreviando le scansioni, Compressed SENSE libera tempo da dedicare al paziente per spiegargli cosa deve aspettarsi e alleviare la sua ansia.

In seguito all'adozione di Compressed SENSE, il centro ospedaliero di Kurashiki ha aumentato del 67% il tempo dedicato al paziente in fase di preparazione, con una conseguente riduzione degli incidenti ed errori pari in media al 70%1,2
I tempi di scansione più brevi ottenuti con Compressed SENSE alleviano lo stress del personale per un programma di lavoro serrato. I tecnici possono utilizzare il tempo risparmiato per incrementare la qualità dell'immagine o dedicarsi alla preparazione del paziente e alla gestione degli aspetti di sicurezza."
Dott. Masayuki Kumashiro, tecnico e responsabile delle tecnologie radiologiche presso il Kurashiki Central Hospital (Giappone)

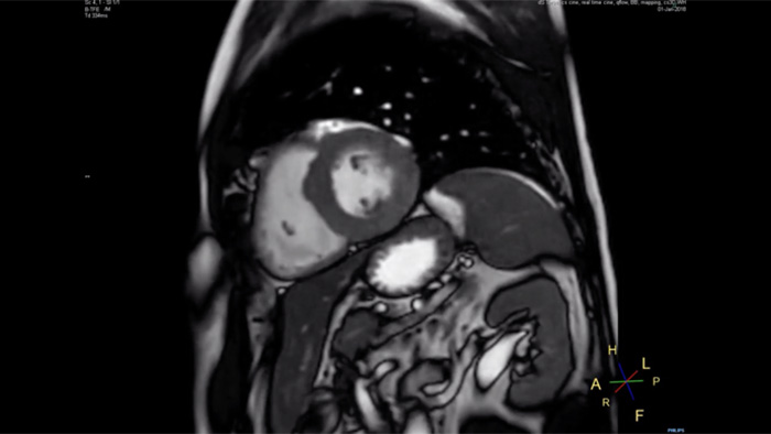
Philips Compressed SENSE riduce il tempo trascorso dal soggetto all'interno dallo scanner di RM. Consente inoltre di abbreviare i tempi di apnea agevolando la fattiva collaborazione del paziente.

Tempo di apnea di 4,8 secondi
Poiché i tempi di apnea brevi facilitano la fattiva collaborazione dei pazienti, l'impossibilità per loro di trattenere il respiro è un problema che si presenta ormai raramente.
Nella nostra struttura, abbiamo riscontrato che nella RM cardiaca sono necessarie meno apnee o che i tempi di apnea si sono ridotti."
Dott. Takashi Koyama, radiologo diagnostico e direttore del reparto di radiologia del Kurashiki Central Hospital (Giappone)
Per molti pazienti cardiaci, trattenere il respiro per 15 o 16 secondi è un compito arduo. Grazie a Compressed SENSE, disponiamo ora di protocolli che riducono l'apnea al di sotto dei 10 secondi. Così per loro è molto più facile e, quindi, sono anche molto più soddisfatti dell'esperienza."
Dott. Trevor Andrews, fisico della risonanza magnetica della University of Vermont Medical Center (Stati Uniti)
In base alla mia esperienza, nell'oncologia gastrointenstinale Compressed SENSE ha un enorme impatto sul tempo di scansione, un fattore molto importante per pazienti che fanno fatica a rimanere sdraiati a lungo, perché provano dolore o presentano un'insufficienza respiratoria. Per esempio, poter ridurre l'apnea in una sequenza dinamica mDIXON a nove secondi dai 12 o 13 iniziali è un fatto che loro apprezzano molto. E che a sua volta si riflette positivamente sulla qualità dell'immagine."
Dott. Christoph Juli, Spitalklinikum Spital Uster (Svizzera)

Compressed SENSE riduce il SAR con effetti positivi sia per chi si sottopone all'esame, sia per gli operatori che possono accettare anche pazienti tecnicamente difficili.
I pazienti con impianti metallici e altre particolari condizioni, infatti, possono presentare incompatibilità alla scansione RM che sono legate agli specifici livelli di SAR richiesti. Integrando Compressed SENSE nella ExamCard, è possibile ridurre il tempo totale dell'esame in modo da mantenere il SAR entro i limiti prescritti dal produttore dell'impianto a compatibilità RM condizionata. Ciò permette di esaminare pazienti che altrimenti rischierebbero di non essere accettati e ne accresce il comfort abbreviando i tempi della scansione.

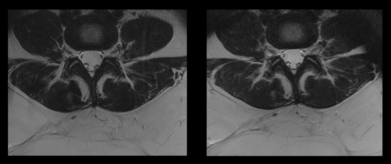
Confronto tra due sequenze spinali, con e senza Compressed SENSE.
Immagine a sinistra: scansione convenzionale, con livello di SAR di 2,5 W/kg e tempo di scansione di 7,33 minuti.
Immagine a destra: scansione mediante Compressed SENSE, con livello di SAR di 1,9 W/kg e tempo di scansione di 3,21 minuti.
Stiamo cercando di abbassare l'età dei bambini che possiamo sottoporre a scansione senza anestesia. Compressed SENSE è uno dei componenti fondamentali di questo programma."
Dott. Jeffrey H. Miller, direttore della divisione di radiologia, Phoenix Children’s Hospital (Stati Uniti)


Un paziente pediatrico con sedazione borderline doveva sottoporsi a una risonanza magnetica all'addome. Abbiamo spiegato ai genitori che con Compressed SENSE potevamo provare a non anestetizzarlo, per vedere se riuscisse a sostenere l'esame. Alla fine ce l'ha fatta anche senza anestesia."
Dott. Jeffrey H. Miller, direttore della divisione di radiologia, Phoenix Children’s Hospital (Stati Uniti)

Potendo accelerare la maggior parte delle sequenze di scansione RM senza sacrificare la qualità dell'immagine, Compressed SENSE ha consentito alla KOYASU Neurosurgical Clinic (KNC) di abbreviare gli slot temporali di RM. In questo modo, KNC ha migliorato la produttività dello scanner di RM con una media di tre pazienti aggiuntivi al giorno.

Scoprite i principi fondamentali del software RM Compressed SENSE e perché rappresenta un cambio di paradigma in fatto di produttività. Compressed SENSE è stato progettato pensando alla qualità dell'immagine e può accelerare le scansioni e migliorare la risoluzione spaziale e l'esperienza del paziente nell'imaging RM clinico.

Gli operatori di risonanza magnetica del centro ospedaliero di Kurashiki hanno integrato Compressed SENSE nella maggior parte dei protocolli di esame cerebrale, spinale, addominale e cardiaco su Ingenia 1.5T, ottenendo scansioni RM veloci e di elevata qualità che hanno riscosso l'apprezzamento di pazienti e dipendenti.
You are about to visit a Philips global content page
ContinueNote:
I contenuti presenti nella pagina che segue contengono informazioni rivolte esclusivamente agli OPERATORI SANITARI, in quanto si riferiscono a prodotti rientranti nella categoria dei dispositivi medici che richiedono l’impiego o l’intervento da parte di professionisti del settore medico-sanitario.