Anziché per velocizzare una scansione RM, Philips Compressed SENSE può essere utilizzato per acquisire immagini con una risoluzione più elevata e aumentare l'affidabilità diagnostica, impiegando lo stesso tempo di scansione attualmente richiesto da un esame RM. Le sequenze possono essere sostituite o aggiunte per ottimizzare dettagli critici. Una sequenza 2D può essere sostituita con un protocollo 3D per usufruire di orientamenti multipli. Scoprite in che modo le vostre aree cliniche di competenza possono trarre vantaggio dalle applicazioni a rilevamento compresso.

In alcuni esami, come quelli del cervello e della colonna vertebrale, può essere utile utilizzare la potenza di Compressed SENSE per scambiare sequenze di scansioni RM in 2D con sequenze in 3D più veloci. Ciò consente ai medici di ottenere un'elevata risoluzione spaziale anche in nervi e vasi minuscoli.

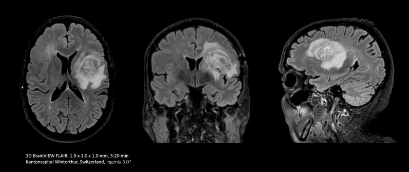
Compressed SENSE permette di sostituire, in soli 3 minuti e mezzo, una scansione FLAIR in 2D a orientamento singolo con una scansione FLAIR volumetrica in 3D a orientamento multiplo.
Personalmente eseguo molti esami di imaging cerebrale. Prima, per la sequenza FLAIR utilizzavamo una sezione di 5 mm di spessore. Ora, grazie a Compressed SENSE, siamo in grado di eseguire una scansione volumetrica in 3D in circa 6 minuti che possono scendere fino a 3 minuti e mezzo."
Dott. Mark Oswood, neuroradiologo presso Hennepin Healthcare, Minneapolis (Stati Uniti)

Nelle tecniche di scansione RM convenzionali, l'imaging ad alta risoluzione può richiedere lunghi tempi di scansione, spesso mal tollerati dai pazienti che presentano dolore e disagio. Inoltre, i lunghi tempi di scansione rendono difficile far rientrare l'imaging ad alta risoluzione in slot di scansione RM accettabili per reparti oberati di lavoro. Compressed SENSE consente di ottenere rapidamente, in meno di cinque minuti, immagini isotropiche in 3D inferiori al millimetro (0,7 mm o meno), agevolando così la diagnosi delle parti anatomiche e dei pazienti impegnativi.

Paziente con cancro della mammella.
A sinistra: scansione in 3D mDIXON XD convenzionale con dimensione voxel isotropica di 1,0 mm e tempo di scansione di 2,22 minuti
A destra: scansione in 3D mDIXON XD mediante Compressed SENSE con dimensione voxel isotropica di 0,8 mm e tempo di scansione di 2,21 minuti.
Per gentile concessione del centro ospedaliero di Kurashiki, Okayama (Giappone)
Nella scansione della mammella, l'alta risoluzione è importante perché consente di identificare lesioni mammarie molto piccole. Perciò, abbiamo bisogno di un'elevata risoluzione spaziale nelle immagini in 2D con pesatura T1 e T2, oltre che di un tempo di scansione ridotto. Compressed SENSE ci ha permesso di aumentare la risoluzione spaziale a vantaggio dell'affidabilità diagnostica."
Dott. Takashi Koyama, radiologo diagnostico e direttore del reparto di radiologia del Kurashiki Central Hospital (Giappone)

Compressed SENSE offre ai reparti RM la flessibilità necessaria per acquisire il maggior numero possibile di informazioni rilevanti nell'arco di tempo della scansione. Le sue velocità consentono di aggiungere sequenze funzionali e di routine supplementari per migliorare le informazioni diagnostiche.

In questo caso, la facoltà di aggiungere sequenze aggiuntive nel medesimo slot temporale permette di migliorare l'affidabilità diagnostica. Oltre alle sequenze TSE tradizionali, ora è possibile aggiungere una sequenza DWI funzionale all'interno dello stesso slot, così da disporre di ulteriori informazioni su cui basare la diagnosi.
Dal momento che la scansione più rapida con Compressed SENSE ci fa risparmiare tempo, possiamo aggiungere una sequenza per ottenere immagini di elevata qualità e stilare una diagnosi affidabile."
Dott. Sachi Fukushima, tecnico radiologo, Kurashiki Central Hospital (Giappone)

Il principale punto a favore dell'adozione di Philips Compressed SENSE è che è universalmente applicabile a tutte le scansioni in 2D e 3D e a tutte le parti del corpo, e questo fa un'enorme differenza."
Dott. Lawrence N. Tanenbaum, RadNet, Beverly Hills, California (Stati Uniti)

Potendo accelerare la maggior parte delle sequenze di scansione RM senza sacrificare la qualità dell'immagine, Compressed SENSE ha consentito alla KOYASU Neurosurgical Clinic (KNC) di abbreviare gli slot temporali di RM. In questo modo, KNC ha migliorato la produttività dello scanner di RM con una media di tre pazienti aggiuntivi al giorno.

Scoprite i principi fondamentali del software RM Compressed SENSE e perché rappresenta un cambio di paradigma in fatto di produttività. Compressed SENSE è stato progettato pensando alla qualità dell'immagine e può accelerare le scansioni e migliorare la risoluzione spaziale e l'esperienza del paziente nell'imaging RM clinico.

Gli operatori di risonanza magnetica del centro ospedaliero di Kurashiki hanno integrato Compressed SENSE nella maggior parte dei protocolli di esame cerebrale, spinale, addominale e cardiaco su Ingenia 1.5T, ottenendo scansioni RM veloci e di elevata qualità che hanno riscosso l'apprezzamento di pazienti e dipendenti.
You are about to visit a Philips global content page
ContinueNote:
I contenuti presenti nella pagina che segue contengono informazioni rivolte esclusivamente agli OPERATORI SANITARI, in quanto si riferiscono a prodotti rientranti nella categoria dei dispositivi medici che richiedono l’impiego o l’intervento da parte di professionisti del settore medico-sanitario.