
Non è un segreto che le malattie epatiche siano un problema di salute sempre più preoccupante.
A livello globale, le epatopatie rappresentano circa 2 milioni di decessi all'anno, con circa 1 milione di decessi dovuti a cirrosi e 1 milione a epatite virale e carcinoma epatocellulare. Stili di vita non sani, come l'obesità, l'abuso di alcol e farmaci, sono le cause principali della malattia e nella maggior parte dei casi le malattie epatiche possono essere prevenute1.
Per decenni, la biopsia epatica è stata il metodo convenzionale per la valutazione della malattia e più recentemente è stato aggiunto il metodo MR-PDFF(MR Proton Density Fat Fraction) per la misurazione del grasso epatico. Questo metodo, tuttavia, presenta diversi ostacoli per i pazienti, tra cui il dolore causato dalla biopsia, l'accesso all'imaging RM, i costi elevati e i lunghi tempi di attesa.
È qui che entra in gioco Philips. Grazie alle innovazioni dei sistemi ecografici Philips EPIQ & Affiniti, è ora disponibile una soluzione completa a supporto della valutazione, del trattamento e del monitoraggio delle epatopatie, con quattro funzioni chiave integrate in uno strumento unico ed efficace.

con gli strumenti LFQ (Liver Fat Quantification) di Philips.

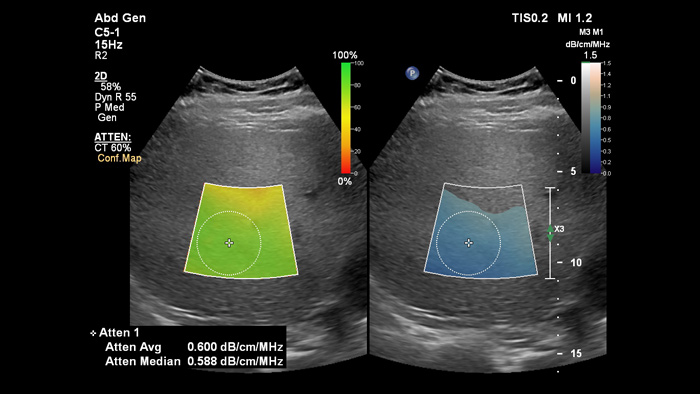
con imaging ElastQ.*

dalla scansione con il trasduttore C5-1 rispetto ai trasduttori convenzionali.
*La vista affiancata delle esclusive mappe di affidabilità e rigidità dell'imaging aiuta a ridurre i passaggi del flusso di lavoro e consente di mettere a confronto le mappe durante le fasi di acquisizione e misurazione.
L'uso diffuso di questa tecnologia in una popolazione generale può essere utile per lo screening della malattia epatica cronica avanzata, tenendo presente che è possibile eseguire uno studio completo in meno di tre minuti utilizzando un metodo non invasivo per la malattia epatica cronica."
Richard G. Barr, MD, PhD
President, Radiology Consultant, Inc. (Youngstown, Ohio) Medical Director, Southwoods Imaging

ElastQ fornisce una valutazione in tempo reale 2D della rigidità dei tessuti con la tecnologia 2D shear-wave (2D-SWE) non invasiva, riproducibile e facile da eseguire. ElastQ offre inoltre la possibilità di effettuare misurazioni retrospettive sulle immagini memorizzate e include una mappa di confidenza per una visualizzazione adeguata della propagazione delle onde trasverse.
ElastPQ è un metodo pSWE (Point Shear Wave) per ottenere i valori di rigidità del fegato. Utilizzando l'imaging in tempo reale come guida, la ROI viene posizionata sull'area di interesse e i dati sulla rigidità dei tessuti vengono acquisiti in pochi secondi. In un referto epatico è possibile registrare e generare più campioni.
L'imaging di attenuazione può misurare la quantità di grasso presente nel fegato calcolando il coefficiente di attenuazione del suono assorbito dal parenchima epatico. Questo metodo fornisce parametri di attenuazione quantitativi che possono aiutare i medici nella gestione dei pazienti con steatosi epatica.
La tecnologia di imaging HRI confronta la luminosità relativa del parenchima epatico con il rene e fornisce informazioni rapide e quantificabili sulla steatosi epatica.
Imaging di attenuazione

ElastQ Imaging


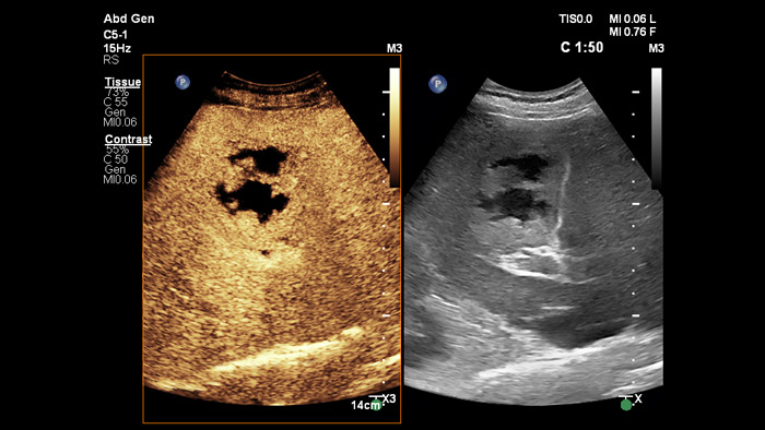
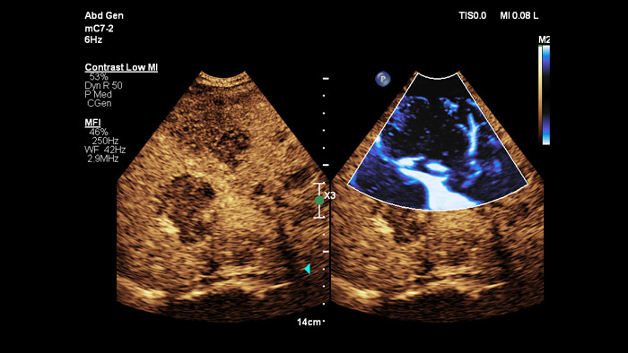
I mezzi di contrasto per l'ecografia possono trasformare il ruolo dell'ecografia, consentendo ai medici di studiare in tempo reale i margini di miglioramento delle lesioni epatiche. L'ecografia con mezzo di contrasto Philips è perfettamente integrata nel flusso di lavoro standard.




Prendi decisioni sicure anche in casi diagnostici complessi grazie alla fusione delle immagini e alla navigazione dell'ago di Philips. Il flusso di lavoro semplificato consente ai medici di ottenere una fusione rapida ed efficace di immagini TC/RM/PET con ecografia dal vivo, mentre la navigazione dell'ago aiuta a guidare la biopsia di lesioni di piccole dimensioni e di difficile accesso2.
Utilizzando il contorno del tumore, gli utenti possono pianificare e trattare le lesioni con uno strumento semiautomatico che aiuta a delineare un contorno 3D attorno a una struttura di interesse, migliorando potenzialmente la guida della procedura nei casi difficili in cui la lesione potrebbe non essere facilmente visualizzata.



I pazienti presentano strutture e dimensioni corporee diverse ma grazie alla tecnologia a cristalli PureWave è possibile migliorare la penetrazione anche nei pazienti con corporature difficili da sottoporre a imaging, mantenendo al contempo un'eccellente risoluzione dei dettagli, sensibilità Doppler e prestazioni eccellenti dell'ecografia con mezzo di contrasto.
La tecnologia a cristalli PureWave rappresenta la più grande innovazione nel materiale dei trasduttori piezoelettrici degli ultimi 40 anni ed è più efficiente dell'85% rispetto ai materiali piezoelettrici convenzionali, garantendo prestazioni eccezionali per tutti i tipi di corporatura del paziente.
Il sistema ecografico Philips EPIQ Elite offre prestazioni eccezionali dal punto di vista clinico, miglioramenti del flusso di lavoro e funzioni avanzate per affrontare le sfide sempre più impegnative delle pratiche odierne. La piattaforma EPIQ Elite rinnova profondamente il modo di affrontare gli esami ecografici, grazie a strumenti clinici sviluppati espressamente per portare l'affidabilità diagnostica a un livello superiore.
Il sistema ecografico Affiniti 70 offre un'efficace combinazione di prestazioni e ottimizzazione del flusso di lavoro, per diagnosi rapide e sicure.
La scelta di un nuovo sistema ecografico è tutta questione di equilibrio. Servono velocemente informazioni diagnostiche precise, un'interfaccia utente semplificata ma intuitiva e facilità di accesso alle funzioni cruciali, unitamente a un design ergonomico e alla tecnologia più recente.
1 Asrani et al, Burden of liver disease in the world. Journal ofhepatology, Vol 70, Issue 1, 2019.)
2 Kim E, Patel RS, Fischman AM, Nowakowski S, Lookstein RA. CT-Guided Liver Biopsy With Electromagnetic Tracking: Results From a Single-Center Prospective Randomized Controlled Trial. AJR 2014; 203:W715–W723)
Lascia che Philips ti aiuti a sfruttare appieno il potenziale dell'ecografia in un'ampia gamma di aree di cura clinica con un portafoglio completo di prodotti, servizi e conoscenze incentrati sulle prestazioni.








You are about to visit a Philips global content page
Continue