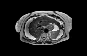
Ingenia Elition fornisce un'eccellente qualità delle immagini ed esegue esami RM a una velocità fino al 50% più elevata¹.
Inoltre, Ingenia Elition offre un'esperienza audiovisiva full immersion per tranquillizzare i pazienti e guidarli attraverso gli esami RM.
I pazienti sono al centro di Ingenia Elition. Un'esperienza RM che migliora il comfort e riduce la ripetizione degli esami7. Grazie alla riduzione del rumore acustico fino all'80%, alla guida vocale, ad elementi visivi per l'immersione in una realtà rilassante all'interno del tunnel e a un lettino comodo, i pazienti si sentono a proprio agio e gli esami risultano più semplici e veloci.

L'esclusiva soluzione ComforTone di Philips riduce il rumore acustico fino all'80%8 a parità di qualità dell'immagine e contrasto nello stesso tempo di acquisizione. È possibile utilizzare ComforTone in esami di routine (ad esempio su cervello, colonna vertebrale e apparato muscoloscheletrico) ma anche applicarlo in protocolli con utilizzo dei gradienti alle massime prestazioni raggiungibili (DWI, fMRI).
Il lettino di Ingenia Elition risulta più confortevole grazie al materassino ComfortPlus. In media, il 90% dei pazienti molto sofferenti apprezza la comodità con cui può stare disteso senza muoversi su ComfortPlus rispetto a un materassino standard.
AutoVoice guida i pazienti attraverso l'esame RM segnalando la durata della scansione, pre-annunciando i movimenti del lettino e indicando quando trattenere il respiro per ottimizzare il comfort del paziente.
Philips adotta un approccio agli esami RM incentrato sul paziente. L'esclusiva soluzione Ambient Experience consente agli operatori e ai pazienti di definire illuminazione, suoni ed elementi visivi nel tunnel in linea con le preferenze personali. In uno studio condotto con la soluzione In-Bore di Philips, l'ospedale universitario danese Herlev Gentofte ha potuto ridurre del 70%7 la necessità di ripetere esami, riuscendo a gestire un numero maggiore di pazienti al giorno.









Un'innovazione rivoluzionaria nella qualità e nella velocità diagnostiche

Imaging 3.0T a portata di mano

Velocità applicata sempre e correttamente.

Maggiore affidabilità diagnostica in neuro-oncologia

Individuate le applicazioni cliniche più adatte alle vostre esigenze

Vedere tutte le bobine di Ingenia Elition 3.0T
1 Rispetto alle scansioni Philips senza Compressed SENSE. 2 Per esami di routine, in base a test interni. 3 In base a testi interni condotti con esami del cervello, della colonna cervicale e lombare, del fegato e del ginocchio, misurando esclusivamente i tempi di esame. 4 SmartExam non disponibile per i pazienti portatori di impianti soggetti a condizioni specifiche in RM. 5 Rispetto a Ingenia 3.0T Omega HP R5.3. 6 Zhou et al., Nat Med 9, 1085-1090 (2003); Zhou et al., Magn Reson Med 50, 1120-1126 (2003); Jones et al., Magn Reson Med 56, 585-592 (2006). 7 I risultati provenienti dai case study non sono predittivi dei risultati in altri casi. I risultati in altri casi potrebbero variare. 8 Rispetto alla scansione senza ComforTone.
You are about to visit a Philips global content page
ContinueNote:
I contenuti presenti nella pagina che segue contengono informazioni rivolte esclusivamente agli OPERATORI SANITARI, in quanto si riferiscono a prodotti rientranti nella categoria dei dispositivi medici che richiedono l’impiego o l’intervento da parte di professionisti del settore medico-sanitario.