Dr. Takahashi,
D.ssa Silvia Schiffer, Direttore e Senior Radiologo presso l'istituto Radiologie Schiffer in Germania, racconta le sue esperienze con il sistema RM Ingenia Prodiva 1.5T.











I primi utilizzatori di Ingenia Prodiva 1.5T raccontano le loro esperienze nell'uso del sistema e spiegano di come questo influisce sulle attività del centro diagnostico.


Il flusso di lavoro semplificato Breeze Workflow consente di esaminare il paziente in modo più rapido ed efficace.

Velocità e produttività grazie a un flusso di lavoro rivoluzionario

Velocità applicata sempre e correttamente.

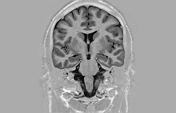
Maggiore affidabilità diagnostica in neuro-oncologia

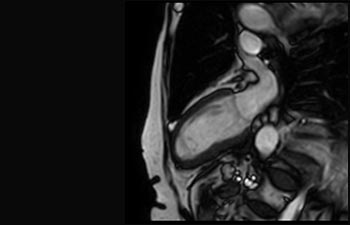
Individuate le applicazioni cliniche più adatte alle vostre esigenze

Vedi tutte le bobine di Ingenia Prodiva 1.5T
1 In base a uno studio interno in cui si confronta il flusso di lavoro con il sistema RM Achieva. 2 ComforTone sarà disponibile con Prodiva 1.5T a partire da fine 2017. 3 In base a uno studio interno che ha confrontato il flusso di lavoro di una serie di applicazioni su cervello, colonna vertebrale, apparato muscoloscheletrico e corpo con il sistema RM Achieva. 4 Per normale funzionamento si intende una scansione tipica eseguita in condizioni di disponibilità ininterrotta di elettricità, con raffreddamento del magnete e senza interventi di assistenza. 5 A seconda di quanto previsto nel contratto e della disponibilità locale. 6 "Altri" si riferisce a sistemi RM 1.5T da 60 cm per il corpo intero
You are about to visit a Philips global content page
ContinueNote:
I contenuti presenti nella pagina che segue contengono informazioni rivolte esclusivamente agli OPERATORI SANITARI, in quanto si riferiscono a prodotti rientranti nella categoria dei dispositivi medici che richiedono l’impiego o l’intervento da parte di professionisti del settore medico-sanitario.