
La preimpostazione per colecisti è ottimizzata in modo da offrire un buon livello di penetrazione e una risoluzione eccezionale della colecisti. Questa preimpostazione è ideale per rilevare ispessimenti patologici delle pareti della colecisti e calcoli biliari.


La preimpostazione polmonare è ottimizzata per evidenziare gli artefatti associati all'imaging polmonare e consente una visualizzazione semplice dello scorrimento del polmone sull'interfaccia pleurica. In questa preimpostazione, le tecniche di imaging avanzato (seconda armonica, SonoCT, XRes) sono disabilitate per migliorare la visualizzazione di segni quali "Linee A" e "Linee B".


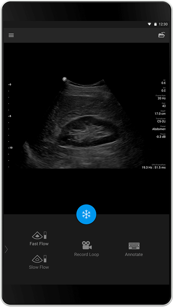
La preimpostazione per l'addome è ottimizzata per un imaging addominale versatile e con grande penetrazione. L'ottimizzazione color flow per le applicazioni addominali è concepita per evidenziare rapidamente sia i flussi più veloci nelle arterie addominali sia i flussi più lenti in organi quali i reni.


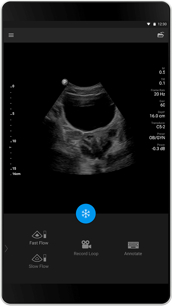
L'ottimizzazione della preimpostazione per ostetricia/ginecologia utilizza l'imaging armonico tissutale (THI) per il delineamento di aree contenenti liquidi e la visualizzazione dettagliata dei tessuti nelle applicazioni ostetriche e ginecologiche.

Facendo clic sul collegamento, lascerai il sito Web ufficiale di Royal Philips ("Philips"). Eventuali collegamenti a siti Web di terzi che possono apparire su questo sito sono forniti solo per comodità dell'utente e non rappresentano in alcun modo alcuna affiliazione o approvazione delle informazioni fornite su tali siti Web collegati. Philips non rilascia dichiarazioni o garanzie di alcun tipo in merito a siti Web di terzi o alle informazioni in essi contenute.
Ho capitoYou are about to visit a Philips global content page
ContinueSeleziona il paese
Italia (Italiano)Facendo clic sul collegamento, lascerai il sito Web ufficiale di Royal Philips ("Philips"). Eventuali collegamenti a siti Web di terzi che possono apparire su questo sito sono forniti solo per comodità dell'utente e non rappresentano in alcun modo alcuna affiliazione o approvazione delle informazioni fornite su tali siti Web collegati. Philips non rilascia dichiarazioni o garanzie di alcun tipo in merito a siti Web di terzi o alle informazioni in essi contenute.
Ho capitoYou are about to visit a Philips global content page
ContinueLa visualizzazione ottimale del nostro sito richiede la versione più recente di Microsoft Edge, Google Chrome o Firefox.